治療概要
| 治療内容 | 結合組織移植術(CTG) |
|---|---|
| 治療期間 | 6ヶ月(外科処置から最終補綴物が入るまで) |
| 治療回数 | 1回(他、抜糸、経過観察等を除く) |
| 費用 | 165,000円〜(税込) |
| リスク・副作用 |
|
治療前の状態・主訴

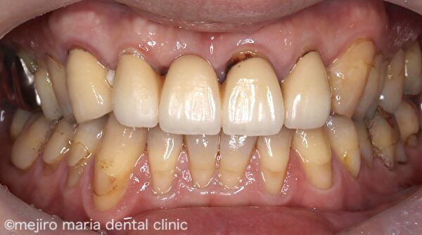
患者様は現在装着中の前歯のブリッジの見た目が悪いという点と、食べ物が詰まって困るという2点を主訴に受診されました。
右上3〜左上2までのブリッジが装着されており、欠損部である右上1の歯肉は大きく凹んでしまっています。また、歯肉に対して適合の悪いブリッジが作製されており、歯肉には著明な炎症所見が認められます。この状態では適切に清掃を行い健康な歯肉を維持することはできないでしょう。
歯肉形態を改善させ、機能的、審美的に満足のいくブリッジ治療を行うことにしました。
治療詳細


上記Before画像を見ると、欠損部である右上1の歯肉が大きく陥凹しているのがわかります。この凹んだ歯肉に合わせてブリッジが作製されていたために機能的、審美的な障害が生じていました。
今回は失われた歯肉のボリュームを回復するために、結合組織移植術(CTG)を選択しました。口蓋(口の上側の部分)から採取した結合組織を歯肉の凹んだ部分に移植し、ボリュームアップさせました。移植術、と聞くと大掛かりな外科手術を想像されるかもしれませんが、最近では非常に小さいミニマルな術野で処置を行う事ができるようになり、患者様の術後の疼痛もほとんどありません。傷口が目立つ心配も全くありません。
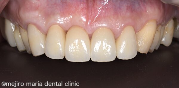
上記After 画像を見ると、歯肉形態が概ね生理的な状態に改善している事がわかります。この状態で歯肉の形態を整えながら治癒を待ち、約6ヶ月後に適合の良いブリッジを作製し装着しました。
治療後の様子


結合組織移植術(CTG)を行った後の歯肉は、安定するまでに半年近くかかると言われています。移植した歯肉は多少小さくなって、最終的なボリュームへと落ち着きます。治癒を待つのと並行して、歯肉の形をブリッジのポンティックが収まるような形態に整え、最終補綴物を作製、装着しました。歯肉の形態が生理的な状態へと改善されたことで、清掃性も上がり、審美性も高めることができました。
<生理的に正しい歯肉の形態の重要性>
抜歯などで歯が失われた部分の歯肉には、ほとんどの場合、なんらかの形態異常が生じると言われています。その多くは「歯肉の凹み(陥凹)」です。抜歯をした後の補綴治療としてブリッジを選択した場合、歯の欠損部にはポンティックと呼ばれるダミーの歯が置かれます。しかしその部分に大きな歯肉の陥凹があると、食べ物が詰まりやすく清掃が出来ないといった機能的な問題や、不自然に大きなポンティックが作られてしまい歯肉との段差が大きくなるなどの審美的な障害を生じます。
今回の症例では、歯肉の陥凹に対し結合組織移植術(CTG:Connective Tissue Graft)により機能と審美、両面の改善を行いました。
機能的にも審美的にも良い治療は、単に見た目がきれいな補綴物を作るだけでは達成されません。生理的な正しい歯肉の形態があって初めて達成されるものだと考えます。
目白マリア歯科では、さまざまな症例に対して歯肉形態を改善させることで、患者様にとって価値ある治療をご提供しています。
歯茎および口腔内のお悩みがある方は、是非当院へご相談ください。
歯科医師 小沼寛明
こちらもご参照ください。